Last night was Rion's last night of chemo for the 1st (of 12) cycles and it couldn't have come fast enough. The double dosage of chemo definitely has hit him harder than it did before when he was taking the single dose (duh) and undergoing radiation. The fatigue has been almost debilitating at times and it's all Rion can do to listen and follow along in a conversation with me. He is cold all the time- his hands and feet are FREEZING even when it's 80F outside. He looks pale and his eyes are red around the rims. For the first time he truly looks like a cancer patient and it breaks my heart! Last night was the 2nd time he has vomited during or immediately after a meal with zero nausea or warning. One minute he's fine and carrying on conversation while we eat at the table and the next second he's rushing to the bathroom. Each time he has been violently ill to the point that he is shaking and sweating afterwards. We have no clue how to combat this but if it continues to happen when he is off the chemo we will be contacting our oncologist at Duke. Another new side effect he has experienced is a low grade fever in the evenings right before bed time. But it's possible that the fever was caused by him taking a bath and raising his core body temperature. We have been taking his temperature periodically throughout the day and so far he hasn't run a fever at any other time. We are anxiously awaiting his blood work on May 9th to see what this dosage has done to his levels, especially his platelets since they suffered before.
But even with all of this we know that we are blessed beyond measure. Comparing his new MRI (wow, can't believe that was just last week, it seems like so much longer) with the original diagnostic MRI from November reminds us that we were fortunate his tumor was operable and, through the work of God, we were about to get in touch with Duke and arguably the best neurosurgeon in the world. We've come across so many people that are living with inoperable brain tumors or whose surgery wasn't as successful as Rion's, these other brain tumor patients aren't as lucky as us and we always try to keep that in the front of our minds when something goes wrong. Our heart aches for each and every cancer patient who has it worse than us and at times we feel guilty complaining about side effects when it could be so very much worse. I couldn't imagine how horrible it would be if Rion still had to continue working right now, he can barely stay up for more than 5 or 6 hours these days and just doing house work leaves him worn out. I'm confident his treatment wouldn't be going as well if he had to manage the stress and demands of a job on top of his treatment & side effects. WE ARE BLESSED!
So things aren't exactly what we would like for them to be but we are constantly humbled by what others have to go through in their treatment. I am hoping that Rion's side effects will subside now that he isn't taking the chemo each day and that his quality of life will improve some what.
Thank you for your continued prayers and support, it blows my mind that we are still getting get well soon cards and donations in the mail almost every day. It makes me want to fight even harder and do even more to keep on top of all of this and take as much stress off Rion as possible- you guys make me feel empowered and I can't accurately express my gratitude and the extent to which I rely on this to keep going.
God Bless,
Emily & Rion
Thursday, April 26, 2012
Monday, April 23, 2012
a good learning experience
If you're friends with me on Facebook you might have seen my post yesterday morning that Rion wasn't doing so well and we needed prayers for mental & physical strength...I am very happy and relieved to report today that he is doing much, much better. Praise God!
Yesterday was by far the worst day we've had since starting treatment but it was also a good learning experience for us. It's hard sometimes to remember that Rion has limitations even though he may look and act "normal." We are constantly having to re-adjust and re-think our priorities and how we are going to manage our lives for the next year+ while Rion is on treatment. Unfortunately we made a simple mistake of over doing it which left Rion totally zapped of energy which in turn made him more susceptible to the side effects from starting his new chemotherapy dosage on Saturday night. Last week would have been a bear for anyone- going up to Duke an back in 36 hours (725 miles round trip,) going to a cook out Friday night and staying out later than usual, and then staying busy all day Saturday and once again staying out later than we normally do Saturday night. On top of all of that, it stormed at our house Saturday night and neither or us were able to get any quality sleep throughout the entire night. When my alarm went off Sunday morning (we were heading out of down for the day to visit family) Rion's body pretty much said "no way jose!" He was so weak he could barely get up to walk across the house and all he wanted to eat was a smoothie because it was bland and easy to eat. He slept the majority of the day yesterday waking up only to eat 1/2 a bowl of soup for lunch and the other 1/2 a few hours later. He did get up for about 3 hours yesterday evening and ate a really good dinner but was ready to go back to bed almost immediately. He slept soundly last night and woke up this morning looking and acting much more like his old self!
From the looks of it the fatigue is going to be even worse with this regiment than it was during chemo/radiation. I can't describe exactly how debilitating it is because I can't honestly grasp it 100% myself. But I can say that Rion looks and acts like a totally different person when he's feeling so poorly- he moves & talks slower and it's clear that even thinking takes more out of him than it normally would. This is very hard for me to watch, helplessly, because for the last 7 years I've gotten accustomed to Rion's quick thinking, always on the go personality that often made me feel lazy for my lack of energy in comparison to him. (and if you know me, you know I am NOT a very lazy person LOL) It is just in our nature to stay busy all the time and try to pack the most into each and every day. But that has to stop, he (we) have got to learn how to say "no" more and realize that he (we) are not the same as he (we) were even 6 months ago. To us it feels unnatural, we have always packed our evenings and weekends with as much activity as possible because that's what makes us happiest. Or it was what made us happiest. Yesterday's hang over from all of the fun & activity over the last week was a not-so-subtle reminder of this. With all the extra stress I'm having to deal with right now it's clear to me that I also need to start taking more time to just relax and re-group. I have so many balls in the air as it is, I'm starting to feel like I'm going to have a break down if I don't quit taking on so much. It's just hard, because we're having to say no to things we want to do just so we can manage the things that we HAVE to do. But I guess it's just another component of cancer treatment that no one thought to enlighten us about up front- the constant struggle to return to normal but to be ever mindful that normal isn't what it used to be.
Thank you all for your thoughts and prayers yesterday and thank you for your understanding that when we say no to an invitation that it's nothing personal but we're going to have to start being a little more selfish with our time. After the next year is over we'll have the rest of our lives to go and do and see but for now we need to focus on Rion and getting him through this 12 months with as little pain (physically and mentally) as possible. We would also both ask that you respect our decisions that we make in regards to Rion's treatment and what WE think is best for him. We understand that not everyone would choose to do the things we are doing and we were probably just as judgemental and skeptical as anyone before this happened to us. But it hurts, more than anyone knows, when our friends and family question our decisions and imply that we are not doing what is best for Rion. Please keep these opinions to yourself: it is not going to change our minds and will only place more stress on us. We don't make any decisions lightly but through prayer and the advise of our medical teams we are confident that we are doing everything we need to be doing at this time.
God bless,
Emily
Yesterday was by far the worst day we've had since starting treatment but it was also a good learning experience for us. It's hard sometimes to remember that Rion has limitations even though he may look and act "normal." We are constantly having to re-adjust and re-think our priorities and how we are going to manage our lives for the next year+ while Rion is on treatment. Unfortunately we made a simple mistake of over doing it which left Rion totally zapped of energy which in turn made him more susceptible to the side effects from starting his new chemotherapy dosage on Saturday night. Last week would have been a bear for anyone- going up to Duke an back in 36 hours (725 miles round trip,) going to a cook out Friday night and staying out later than usual, and then staying busy all day Saturday and once again staying out later than we normally do Saturday night. On top of all of that, it stormed at our house Saturday night and neither or us were able to get any quality sleep throughout the entire night. When my alarm went off Sunday morning (we were heading out of down for the day to visit family) Rion's body pretty much said "no way jose!" He was so weak he could barely get up to walk across the house and all he wanted to eat was a smoothie because it was bland and easy to eat. He slept the majority of the day yesterday waking up only to eat 1/2 a bowl of soup for lunch and the other 1/2 a few hours later. He did get up for about 3 hours yesterday evening and ate a really good dinner but was ready to go back to bed almost immediately. He slept soundly last night and woke up this morning looking and acting much more like his old self!
From the looks of it the fatigue is going to be even worse with this regiment than it was during chemo/radiation. I can't describe exactly how debilitating it is because I can't honestly grasp it 100% myself. But I can say that Rion looks and acts like a totally different person when he's feeling so poorly- he moves & talks slower and it's clear that even thinking takes more out of him than it normally would. This is very hard for me to watch, helplessly, because for the last 7 years I've gotten accustomed to Rion's quick thinking, always on the go personality that often made me feel lazy for my lack of energy in comparison to him. (and if you know me, you know I am NOT a very lazy person LOL) It is just in our nature to stay busy all the time and try to pack the most into each and every day. But that has to stop, he (we) have got to learn how to say "no" more and realize that he (we) are not the same as he (we) were even 6 months ago. To us it feels unnatural, we have always packed our evenings and weekends with as much activity as possible because that's what makes us happiest. Or it was what made us happiest. Yesterday's hang over from all of the fun & activity over the last week was a not-so-subtle reminder of this. With all the extra stress I'm having to deal with right now it's clear to me that I also need to start taking more time to just relax and re-group. I have so many balls in the air as it is, I'm starting to feel like I'm going to have a break down if I don't quit taking on so much. It's just hard, because we're having to say no to things we want to do just so we can manage the things that we HAVE to do. But I guess it's just another component of cancer treatment that no one thought to enlighten us about up front- the constant struggle to return to normal but to be ever mindful that normal isn't what it used to be.
Thank you all for your thoughts and prayers yesterday and thank you for your understanding that when we say no to an invitation that it's nothing personal but we're going to have to start being a little more selfish with our time. After the next year is over we'll have the rest of our lives to go and do and see but for now we need to focus on Rion and getting him through this 12 months with as little pain (physically and mentally) as possible. We would also both ask that you respect our decisions that we make in regards to Rion's treatment and what WE think is best for him. We understand that not everyone would choose to do the things we are doing and we were probably just as judgemental and skeptical as anyone before this happened to us. But it hurts, more than anyone knows, when our friends and family question our decisions and imply that we are not doing what is best for Rion. Please keep these opinions to yourself: it is not going to change our minds and will only place more stress on us. We don't make any decisions lightly but through prayer and the advise of our medical teams we are confident that we are doing everything we need to be doing at this time.
God bless,
Emily
Friday, April 20, 2012
Duke appointment Tuesday 4/20/12
From this (November 2011):
To This (February 2012)
To this (April 2012)
And this (November 2011)
To this (April 2012)
In a nut shell the 6 weeks of chemo and radiation was a success, Rion is healing still from surgery and almost all of the fluid that was present on his skull right after surgery has been reabsorbed. Since he did so well on the chemo/radiation regiment, the doctors are optimistic that the next round of chemo will go smoothly and we won't have to keep going back to Duke so frequently!! YAY
Here are the nitty gritty details of what's to come:
- the next chemo regiment will be with the same oral chemo drug that he was just taking in combination with the radiation but it will be at a much higher dosage (double to start off with until we make sure his platelets can handle it and then it will probably be increased further.)
- Speaking of platelets- his have rebounded nicely! We had labs done before we left Duke on Wednesday and they called us later that day to say his levels are all great- platelets are at 135 now so he is all set to start chemo ASAP
- We will be starting the chemo this Saturday evening- on the new regiment he will take the oral chemo for 5 days and then stop for 23 days. We will have lab work done on the 3rd & 4th week to make sure his levels are high enough to start the regiment again the following week
- Our next appointment back at Duke is June 27th and as long as the MRI is clear and he is tolerating the chemo then we won't have to go back "for a while." (Not sure exactly how long that is but sounds promising to me.) We will still have to have MRIs done periodically but we will just send the scans up to Duke to review & keep in Rion's file
God has renewed our hope and we continue to be faithful that He will see us through this difficult time. We look forward to Saturday and actively participating in treatment again which brings us one step closer to remission!
God bless,
Emily & Rion
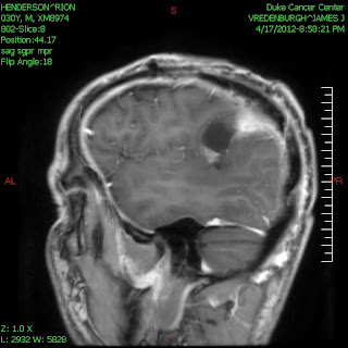
Tuesday, April 17, 2012
Made it to Duke
Rion was just taken back for his MRI and we meet with the doctor at 10:30 tomorrow morning to go over the results. Please say a quick prayer for us tonight- Rion's nerves are already shot and mine aren't much better. It has been a long day and we know tomorrow will be also...we pray we have good news after the appointment in the morning!
Emily
Published with Blogger-droid v2.0.4
Monday, April 16, 2012
T-shirts are finally here!!!
We picked up our custom made t-shirts Friday afternoon from the printer. We are selling them as well as the gray brain cancer awareness bracelets as a fund raiser to help off set the staggering medical debt that we have accumulated over the past 4 months. The t-shirts are 100% cotton pre-shrunk and we have them in small, medium, large & extra large- just as a reference I wear a small & Rion wears a large. Here is Rion modeling the front & back
The are actually nicer than I thought they would be; the material is very durable & I love how they used lighter stitching that matches the lettering. The bracelets are rubber and 1 size fits all- they are light gray and say "Beat Brain Cancer" in the same font but black that is used on the back of the shirts. Thank you to Donnie at Skyline Prints (http://www.skylineprints.com/) for taking such good care of us!
We are selling the bracelets for $3 & the t-shirts for $15. If you live out of state or too far away we can definitly ship them...the cost is $3.50 though to cover the additional expenses. We prefer cash or payment through PayPal. I am available Monday-Friday to meet folks in Conyers to pick up orders and Rion is home in Monroe during the day.
If you're interested please shoot me an e-mail to gahendersons at yahoo dot com (spelled out to prevent spam) and let me know how many, what sizes, when you want to meet, etc. Please remember that we are leaving early tomorrow for Duke and won't be back until late Wednesday so Thursday is the earliest we're going to be available unless you come to Conyers by 5:00 today.
Thank you to our wonder friends and family and everyone that has gone out of their way to help us out- we couldn't get through this without our amazing support groups that continues to blow us away with the amount of love we are shown.
God Bless,
Emily
We are selling the bracelets for $3 & the t-shirts for $15. If you live out of state or too far away we can definitly ship them...the cost is $3.50 though to cover the additional expenses. We prefer cash or payment through PayPal. I am available Monday-Friday to meet folks in Conyers to pick up orders and Rion is home in Monroe during the day.
If you're interested please shoot me an e-mail to gahendersons at yahoo dot com (spelled out to prevent spam) and let me know how many, what sizes, when you want to meet, etc. Please remember that we are leaving early tomorrow for Duke and won't be back until late Wednesday so Thursday is the earliest we're going to be available unless you come to Conyers by 5:00 today.
Thank you to our wonder friends and family and everyone that has gone out of their way to help us out- we couldn't get through this without our amazing support groups that continues to blow us away with the amount of love we are shown.
God Bless,
Emily
Tuesday, April 10, 2012
1 week post treatment
Today was our follow up with the local medical oncologist to see how Rion is doing 1 week post treatment. We went into the appointment with a few concerns, we have a few new concerns, but over all he is still doing well. Because I'm lazy (and trying to get this all down before I forget anything) this post will be more bullet form than pretty paragraphs with fluff built in : )
1.) Rion's platelets are still down slightly, actually they are down more than they were before. They are at 70 now and 2 weeks ago were 80. However, this is nothing to be concerned about for 2 reasons- they aren't all that low (below 10 is considered too low even though anything under 100 is undesirable) and it normally takes about 2 weeks after stopping chemo/lowering dosage to see an improvement. He should be back up to snuff by the time we begin the next round of chemo. Which brings me to part 2...
2.) His tentative date to start the next round of chemo is May 1st. We're assuming that we'll continue on with the plan that was laid out by Duke back in February which calls for 12 cycles of chemo that will be taken for 5 consecutive days and then stopped for 25. Our prayer is that Rion is able to continue on with the same dosage that he just took for 42 days since we know he can tolerate it (and also because we are concerned with what a higher dosage might due to his blood counts since the lower one did have a negative effect on his platelets.)
3.) We are going to be scheduling an appointment with an optometrist to get Rion's eyes examined, specifically his peripheral vision. Rion has been running into things lately, mainly door jambs as he tries to pass through a door way. As humorous as it sounds, the doctor immediately perked up when we mentioned it and performed a sort of rough test to see if he could detect anything abnormal about his vision; it does seem that he has less peripheral vision is his left side than his right...the side where all the radiation was concentrated which makes sense. One of the scariest side effects of radiation was damage (permanent & temporary) to the optic nerve. While Rion's tumor wasn't located close enough to the optic nerve to cause damage, it appears that the radiation beams might have hit it just right to cause him some trouble. Prayer #2 is that this is only temporary and doesn't get any worse. I am concerned that it might affect his ability to drive if it doesn't rectify itself by the end of next month when he can legally drive again.
Wow, it seemed like so much more when we were in the appointment for 30 minutes...maybe it was the 50 minutes we had to wait once we got there this morning. Hmmmm.... but regardless of the wait, I would recommend this group of doctors hands down to anyone going through chemo and/or radiation. They are always running behind because they take the time to really listen and answer all of your millions of questions, even those that seem insignificant. If we had felt rushed for time this morning I doubt we would have mentioned the running into things which turned out to be kinda a big deal.
Regarding the local doctors, I am also super impressed with how concerned they are about Rion's comfort level- he sneezed this morning and the doctor actually asked if he had allergies that were bothering him and then proceeded to discuss the different allergy medication that was safe for him to take. Wow! All just because he happened to sneeze when the Dr was in the room. He could have just said 'bless you' and let it go but he took the few extra minutes to answer a question that we hadn't even thought to ask. We also mentioned that the pain medication he has been on since surgery and still needs occasionally doesn't seem to be agreeing with him any longer (an aside, he had actually stopped taking it all together a week or so ago because it made him feel so lethargic and icky when it wore off but the plain Tylenol just wasn't cutting it either so he has been in more pain than normal lately.) Without even batting an eye or giving us a shady look he asked if Rion has taken anything before for pain that worked and then prescribed him enough of the new (narcotic) medication to get us through the next month.
I guess I still have a hard time seeing myself and Rion as adults and actually being taken seriously by all of the doctors and nurses; it's a combination of age/lack of experience dealing with a major medical issue and just plain lack of education that leaves me amazed that these doctors are so concerned about our well being and comfort. It's easy to forget how serious our situation is when we're at home but then in the office when we have MDs bending over backwards to help us it reminds me that this isn't just a routine headache we're treating. It really does ease some stress to know that we can bring up anything we are concerned about, no matter how minor it may seem, and it will be addressed immediately and without criticism.
Ok, that's all from our appointment today. Rion is doing really, really well all things considered. He still has to nap some days, especially if he was really busy the day/night before. He has also found that he gets dehydrated super easily and has to drink a ton of water to keep from feeling poorly. His weight is still doing well, down just a little bit from where it was at the end of treatment but then again he had gained 5 pounds over those 6 weeks so still remaining constant. His appetite is good and we're still focusing on eating "real" foods 90% of the time and avoiding processed, refined, franken-foods.
I am not sure if I'll post again before next Tuesday when we head up to Duke but please, please, please pray for us. The MRI the evening of the 17th looms on the calendar and I can't help but feel a sense of impending doom which is probably just my nerves getting the best of me. As much as I complain about feeling overwhelmed, I am super glad to be as busy as I am so that I don't worry about next weeks appointments any more than I already do. As always Rion is super positive and optimistic and some days I feel like I am the patient and he is the caregiver.
One last note, some people have asked about the t-shirts & bracelets and I should have them any day now! They were supposed to be done last Friday but I'm sure it's just a matter of time before I get the call that they are ready for pick up and we'll finally be able to start selling them. Thanks for all of your patients and understanding- there is just 1 of me and I have about a gazillion balls in the air right now.
Here's my favorite cancer patient showing off what he calls his "good side..." I just can't express how beautiful his head looks to be bald- I just love to rub it & kiss it!!
Love and Blessings,
Emily
1.) Rion's platelets are still down slightly, actually they are down more than they were before. They are at 70 now and 2 weeks ago were 80. However, this is nothing to be concerned about for 2 reasons- they aren't all that low (below 10 is considered too low even though anything under 100 is undesirable) and it normally takes about 2 weeks after stopping chemo/lowering dosage to see an improvement. He should be back up to snuff by the time we begin the next round of chemo. Which brings me to part 2...
2.) His tentative date to start the next round of chemo is May 1st. We're assuming that we'll continue on with the plan that was laid out by Duke back in February which calls for 12 cycles of chemo that will be taken for 5 consecutive days and then stopped for 25. Our prayer is that Rion is able to continue on with the same dosage that he just took for 42 days since we know he can tolerate it (and also because we are concerned with what a higher dosage might due to his blood counts since the lower one did have a negative effect on his platelets.)
3.) We are going to be scheduling an appointment with an optometrist to get Rion's eyes examined, specifically his peripheral vision. Rion has been running into things lately, mainly door jambs as he tries to pass through a door way. As humorous as it sounds, the doctor immediately perked up when we mentioned it and performed a sort of rough test to see if he could detect anything abnormal about his vision; it does seem that he has less peripheral vision is his left side than his right...the side where all the radiation was concentrated which makes sense. One of the scariest side effects of radiation was damage (permanent & temporary) to the optic nerve. While Rion's tumor wasn't located close enough to the optic nerve to cause damage, it appears that the radiation beams might have hit it just right to cause him some trouble. Prayer #2 is that this is only temporary and doesn't get any worse. I am concerned that it might affect his ability to drive if it doesn't rectify itself by the end of next month when he can legally drive again.
Wow, it seemed like so much more when we were in the appointment for 30 minutes...maybe it was the 50 minutes we had to wait once we got there this morning. Hmmmm.... but regardless of the wait, I would recommend this group of doctors hands down to anyone going through chemo and/or radiation. They are always running behind because they take the time to really listen and answer all of your millions of questions, even those that seem insignificant. If we had felt rushed for time this morning I doubt we would have mentioned the running into things which turned out to be kinda a big deal.
Regarding the local doctors, I am also super impressed with how concerned they are about Rion's comfort level- he sneezed this morning and the doctor actually asked if he had allergies that were bothering him and then proceeded to discuss the different allergy medication that was safe for him to take. Wow! All just because he happened to sneeze when the Dr was in the room. He could have just said 'bless you' and let it go but he took the few extra minutes to answer a question that we hadn't even thought to ask. We also mentioned that the pain medication he has been on since surgery and still needs occasionally doesn't seem to be agreeing with him any longer (an aside, he had actually stopped taking it all together a week or so ago because it made him feel so lethargic and icky when it wore off but the plain Tylenol just wasn't cutting it either so he has been in more pain than normal lately.) Without even batting an eye or giving us a shady look he asked if Rion has taken anything before for pain that worked and then prescribed him enough of the new (narcotic) medication to get us through the next month.
I guess I still have a hard time seeing myself and Rion as adults and actually being taken seriously by all of the doctors and nurses; it's a combination of age/lack of experience dealing with a major medical issue and just plain lack of education that leaves me amazed that these doctors are so concerned about our well being and comfort. It's easy to forget how serious our situation is when we're at home but then in the office when we have MDs bending over backwards to help us it reminds me that this isn't just a routine headache we're treating. It really does ease some stress to know that we can bring up anything we are concerned about, no matter how minor it may seem, and it will be addressed immediately and without criticism.
Ok, that's all from our appointment today. Rion is doing really, really well all things considered. He still has to nap some days, especially if he was really busy the day/night before. He has also found that he gets dehydrated super easily and has to drink a ton of water to keep from feeling poorly. His weight is still doing well, down just a little bit from where it was at the end of treatment but then again he had gained 5 pounds over those 6 weeks so still remaining constant. His appetite is good and we're still focusing on eating "real" foods 90% of the time and avoiding processed, refined, franken-foods.
I am not sure if I'll post again before next Tuesday when we head up to Duke but please, please, please pray for us. The MRI the evening of the 17th looms on the calendar and I can't help but feel a sense of impending doom which is probably just my nerves getting the best of me. As much as I complain about feeling overwhelmed, I am super glad to be as busy as I am so that I don't worry about next weeks appointments any more than I already do. As always Rion is super positive and optimistic and some days I feel like I am the patient and he is the caregiver.
One last note, some people have asked about the t-shirts & bracelets and I should have them any day now! They were supposed to be done last Friday but I'm sure it's just a matter of time before I get the call that they are ready for pick up and we'll finally be able to start selling them. Thanks for all of your patients and understanding- there is just 1 of me and I have about a gazillion balls in the air right now.
Here's my favorite cancer patient showing off what he calls his "good side..." I just can't express how beautiful his head looks to be bald- I just love to rub it & kiss it!!
Love and Blessings,
Emily
Wednesday, April 4, 2012
Out of left field
After riding high on the feeling of being done with the 1st round of treatment, yesterday evening I was brought crashing back to reality. This was brought to my attention via Facebook and Rion and I spent a good deal of time crying & praying for this sweet family and their precious baby girl that they lost to Leukemia yesterday. Please take a minute today and say a prayer for their family. I just can't imagine what they are going through right now. Here is their family blog, very similar to the one I write on here:
http://www.needhamcrew.blogspot.com/
From what I gather they are local from the greater Athens area...it could have been anyone's little girl that God called home yesterday, cancer or not, there is nothing that makes us immune to death when it's our time to go.
As the high from finishing treatment wears off I am left feeling somber and resigned to accept that our journey is far from over. It's the unknown that scares us the most- what will the next MRI show? How will Rion react to the next round of chemo? will it even work? I am filled with doubts and insecurities that make it hard to keep from crying today.
But mostly I am sad for the Needham family. I don't know them at all but reading this hits too close to home for me and I can't shake the depression I fell into yesterday. Please hug your family today and tell them how much you love them. Let the little arguments go and focus on what really matters, enjoying each and every moment that you have to spend with your loved ones. And please, please, please say a prayer for the Needham family that God will carry them through this experience and give them the strength they need to move forward.
Emily
http://www.needhamcrew.blogspot.com/
From what I gather they are local from the greater Athens area...it could have been anyone's little girl that God called home yesterday, cancer or not, there is nothing that makes us immune to death when it's our time to go.
As the high from finishing treatment wears off I am left feeling somber and resigned to accept that our journey is far from over. It's the unknown that scares us the most- what will the next MRI show? How will Rion react to the next round of chemo? will it even work? I am filled with doubts and insecurities that make it hard to keep from crying today.
But mostly I am sad for the Needham family. I don't know them at all but reading this hits too close to home for me and I can't shake the depression I fell into yesterday. Please hug your family today and tell them how much you love them. Let the little arguments go and focus on what really matters, enjoying each and every moment that you have to spend with your loved ones. And please, please, please say a prayer for the Needham family that God will carry them through this experience and give them the strength they need to move forward.
Emily
Tuesday, April 3, 2012
DONE and DONE
Yesterday was Rion's last day of radiation and last day of the 1st round of chemo. I took the day off so I could take him to his last appointment (I knew we'd have to schedule the follow up appointment as well while we were there,) get some errands run that need to be done during the day, and spend some extra time together in celebration that we are done with this phase. I remember back at the end of February when we were getting started it felt like 6 weeks was sooooooo far away and that it was going to take forever to get to the end; we were so scared and nervous and not sure what to expect from the whole process- would Rion be sick? In pain? would his levels drop & they have to stop treatment or adjust his dosage? We he be so tired that there would be days he stayed in bed? Looking back though the time has really flown by and I am so, so grateful that it was a relatively painless 6 weeks with very few complications.
But nothing through this whole process has meant more to us than the love and support we've received from our friends and family. Y'all, I only took Rion to treatment one day a week and the first 4 days, 10 times total, and never once did we have to ask more than 1 person to take him because we got stuck without a ride. Never once did anyone tell us they were too busy or had something else to do. Never once did someone we ask have anything more important going on in their life. I can not describe to you how incredible awestruck we are at the magnitude of the love our friends and family have for us.
There have been days that I was stressed beyond belief- bills piling up, paperwork to be sorted through, a messy house staring me in the face- all things that when combined left me feeling overwhelmed and under appreciated! But then I'd get a letter in the mail, or a phone call, and someone would say just the right thing and I'd remember that I'm not just fighting this battle for me & Rion, but we are going to get through this so we can educate other young people about dealing with a cancer diagnosis and resulting treatment. This whole thing is so much bigger than us and dwelling on every.little.detail distracts from the big picture and what's really important; our family & friends have not only helped out tremendously with the financial aspect & the coordination of appointments, but they have kept me grounded and been there to constantly reaffirm that I'm doing a good job of whatever it is that I'm doing. I tried to think up something tangible I could give to everyone that has helped us out, a token of our appreciation, but I'm left dumb struck as to what to do. So instead I'm recommitting myself EVERY DAY to doing the best I can for me & Rion, and doing the best I can to turn this seemingly horrible experience in to something positive and useful. There isn't a single person that has helped us out that wouldn't be proud to be part of something bigger and if I can make that happen then I am!
We are working on starting a non-profit organization and doing a couple of fund raisers, but more and more I am focusing on the future and what comes next...i don't want this to just stop once Rion finished chemo & we have a set of clear scans. I want to keep the momentum going and do whatever I can to impact the lives of others in a positive way, to be their beacon of hope as our family & friends has been to us. Rion is blessed with an extended family that has put aside hard feelings from things that happened in the past to be there for us when it really mattered. I couldn't imagine how we would have gotten through this ordeal without them (and they are still continuing to support us in so many ways, it's not over yet.) What knowledge and experience can we gain from this that would help others who might not have the support system we have? I don't know the answer yet but with God's help I'm going to find it.
I didn't mean to come here and get all mushy and sentimental on you guys but this is real stuff. No matter how much we might wish it other wise, our lives will never be the same again...why try to change something you have no control over when you can turn it into something positive and useful to other? I know it's cliche, but we'd really like to leave the world a better place than it was before his happened to me & Rion.
Ok, enough of that! I wanted to leave you with some pictures I took yesterday while me & Rion were having our day of celebration.
But nothing through this whole process has meant more to us than the love and support we've received from our friends and family. Y'all, I only took Rion to treatment one day a week and the first 4 days, 10 times total, and never once did we have to ask more than 1 person to take him because we got stuck without a ride. Never once did anyone tell us they were too busy or had something else to do. Never once did someone we ask have anything more important going on in their life. I can not describe to you how incredible awestruck we are at the magnitude of the love our friends and family have for us.
There have been days that I was stressed beyond belief- bills piling up, paperwork to be sorted through, a messy house staring me in the face- all things that when combined left me feeling overwhelmed and under appreciated! But then I'd get a letter in the mail, or a phone call, and someone would say just the right thing and I'd remember that I'm not just fighting this battle for me & Rion, but we are going to get through this so we can educate other young people about dealing with a cancer diagnosis and resulting treatment. This whole thing is so much bigger than us and dwelling on every.little.detail distracts from the big picture and what's really important; our family & friends have not only helped out tremendously with the financial aspect & the coordination of appointments, but they have kept me grounded and been there to constantly reaffirm that I'm doing a good job of whatever it is that I'm doing. I tried to think up something tangible I could give to everyone that has helped us out, a token of our appreciation, but I'm left dumb struck as to what to do. So instead I'm recommitting myself EVERY DAY to doing the best I can for me & Rion, and doing the best I can to turn this seemingly horrible experience in to something positive and useful. There isn't a single person that has helped us out that wouldn't be proud to be part of something bigger and if I can make that happen then I am!
We are working on starting a non-profit organization and doing a couple of fund raisers, but more and more I am focusing on the future and what comes next...i don't want this to just stop once Rion finished chemo & we have a set of clear scans. I want to keep the momentum going and do whatever I can to impact the lives of others in a positive way, to be their beacon of hope as our family & friends has been to us. Rion is blessed with an extended family that has put aside hard feelings from things that happened in the past to be there for us when it really mattered. I couldn't imagine how we would have gotten through this ordeal without them (and they are still continuing to support us in so many ways, it's not over yet.) What knowledge and experience can we gain from this that would help others who might not have the support system we have? I don't know the answer yet but with God's help I'm going to find it.
I didn't mean to come here and get all mushy and sentimental on you guys but this is real stuff. No matter how much we might wish it other wise, our lives will never be the same again...why try to change something you have no control over when you can turn it into something positive and useful to other? I know it's cliche, but we'd really like to leave the world a better place than it was before his happened to me & Rion.
Ok, enough of that! I wanted to leave you with some pictures I took yesterday while me & Rion were having our day of celebration.
First, here is Rion holding his certificate of completion that the radiation oncologists office gave him- it's personally signed by every single doctor, technician and office staff at the treatment center. I know everyone gets one, but still, it was a very nice personal touch!
Here is Rion modeling his radiation mask that he's worn every day for treatment. It's hard to tell from this angel but it has screws on the top & side that actually attach it to the table so he's held in position while receiving radiation (very important if you don't want to accidentally radiate the wrong part of your brain.) This was custom made for Rion using a mold-able plastic and I won't even get into how much it costs LOL
and last, here's Rion right after we shaved his head and gave him his new hair do. He has been looking forward to getting to do this so the spots where his hair fell out wouldn't be as noticeable...now all he needs to do is get a little sun on his head because it is quite white
Subscribe to:
Comments (Atom)










